こちらの製品は販売終了しております。
お客様のご希望製品の最新情報や代替品についての詳細をお知りになりたい場合、以下のリンクよりご確認いただけます。引き続き、当社の製品をご愛用いただけますようお願い申し上げます。
JSM-IT800は、高分解能観察を実現するための "インレンズショットキーPlus電界放出形電子銃" と次世代型電子光学制御システム "Neo Engine"、高速度元素マッピングを実現するために使いやすさを追求したGUI "SEM Center" に自社製EDSを組込んだシステムを共通のプラットフォームとしています。
SEMの対物レンズをモジュールとして置き換えることで、お客様の様々なニーズに応じた装置を提供します。
JSM-IT800には、対物レンズの違いにより、汎用FE-SEMであるハイブリッドレンズバージョン (HL)、より高分解能観察や分析を可能にするスーパーハイブリッドレンズバージョン (SHL/SHLs、機能の違いにより2バージョン)、半導体試料観察を得意とするセミインレンズバージョン (i/is 、機能の違いにより2バージョン) と5つのバージョンをラインナップしました。
さらに、JSM-IT800には、新しい反射電子検出器であるシンチレーター反射電子検出器 (SBED) と多目的反射電子検出器 (VBED) が搭載可能です。SBEDでは応答性の良い、低加速電圧での材料コントラスト像の取得ができます。VBEDでは、3D、凹凸、材料コントラスト像の取得が出来るため、今まで得られなかった情報の取得やお困りの測定への改善が期待できます。
特長
インレンズショットキーPlus 電界放出電子銃(FEG)
電子銃と低収差コンデンサーレンズの融合により高輝度化を実現しました。低加速電圧でも十分な照射電流が得られ(100nA@5kV)、対物レンズの切り替えなしで高分解能観察から高速元素マッピング、EBSD分析や軟X線分析まで行えます。

Neo Engine (New Electron Optical Engine)
JEOLの電子光学技術の粋を集めた次世代型電子光学制御システムを搭載しました。
条件変更時でも安定した観察が可能です。また、オート機能等の使い勝手の大幅な向上も実現しました。
AFS・ACB

オート前
試料:カーボン上の錫ナノ粒子
入射電圧: 15 kV, WD: 2 mm, 観察モード: BD, 検出器: UED, 倍率: x200,000

オート後
SEM Center・EDSインテグレーション
操作GUI「SEM Center」とEDS分析をフルインテグレーションし、次世代の操作性を実現しました。さらに、初心者にSEM操作方法をアシストするスマイルナビ(オプション)や、ライブ像をみやすくするLIVE-AI(人工知能)フィルター(Live Image Visual Enhancer-AI:LIVE-AI)(オプション)も搭載しました。

SMILE VIEW™ Lab
取得データを一元管理できるSMILE VIEW™ Labにより、観察から分析まで全データのレポートを素早く簡単に作成できます。

スマイルナビ
装置を使用するのがはじめての方や使用に対して不安がある方でも、基本操作が問題なくできるよう設計されたアシストツールです。
説明に従いスマイルナビ内のアイコンをクリックするとSEMの操作画面が連動します。必要な操作手順やボタンの配置をSEMの操作画面に対して示してくれるため、将来的にスマイルナビなしでの操作の習得が期待できます。
(本機能はオプションです。)

新機能 LIVE-AIフィルター (Live Image Visual Enhancer-AI)
ライブ像をみやすくする新開発のLIVE-AI (人工知能)フィルターを搭載しました。 積算処理と異なり残像がなく追従性の良いライブ像を表示できるため、視野探しやフォーカス、非点の調整に非常に有効なフィルターです。
(本機能はオプションです。)
ライブ像の比較

試料:蟻の外骨格、入射電圧:0.5kV、検出器:SED

試料:鉄のさび、入射電圧:1kV、検出器:SED
ハイブリットレンズバージョン (HL、HL;Hybrid Lens) / スーパーハイブリッドレンズバージョン (SHL、SHL;Super Hybrid Lens) / セミインレンズバージョン
JSM-IT800シリーズはユーザーの目的に応じて対物レンズを選択できます。
HLバージョンとSHLバージョン (SHLsバージョン含む) は、汎用性の高いアウトレンズから発展した電磁場重畳型対物レンズを搭載しています。
鉄鋼材料からナノ材料までさまざまな試料の高分解能観察や分析が可能です。特に磁性材料の観察やEBSD測定などの分析において大変有効です。
iバージョンとisバージョンはセミインレンズを搭載しています。半導体デバイスの不良解析で必要な傾斜した試料や断面試料の高分解能観察や分析が得意です。
さらに、上方インレンズ検出器 (UID) による電位コントラスト観察において威力を発揮します。

アウトレンズ型 | 電磁場重畳型 | セミインレンズ型 |
汎用性が高い 装置:JSM-IT700HR |
汎用性と高分解能を両立 装置: JSM-IT800HL/SHL |
高分解能を追及 装置: JSM-IT800i/is |
上方ハイブリッド検出器 (UHD;Upper Hybrid Detector)
SHLバージョンの対物レンズの中に搭載された新検出器UHDにより、試料から発生した電子の検出効率が大幅に向上し、高S/Nな像取得ができます。
UHD (上方ハイブリッド検出器)

SHLを用いた観察例
試料:アルミナ粒子

入射電圧: 0.5 kV、観察モード: BD、検出器: UHD
試料表面にある数nmの微細なステップ構造が観察できます。
SHLバージョンで撮影

入射電圧: 0.3 kV、観察モード: BD、検出器: UHD
薄いシート状の試料の表面構造を明瞭に観察できます。※SHLバージョンで撮影
試料:アルミべーマイト

入射電圧: 0.2 kV、観察モード: BD、検出器: UHD+UED (加算モード)
試料提供: 京都大学生存圏研究所教授 矢野 浩之様
有機繊維であっても電子線によるダメージを抑えて観察できます。※SHLバージョンで撮影
試料:セルロースナノファイバー (CNF)
試料:ICチップ断面 (表面エッチング)

入射電圧: 5.0 kV (試料バイアスなし)、観察モード: SHL、検出器: UHD, UED (反射電子モード)UHDで二次電子像、UEDで反射電子像を観察できます。
HLを用いた観察例

入射電圧: 20 kV、WD: 2 mm、観察モード: BD、検出器: UED
試料: カーボン上のPtナノ粒子

入射電圧: 1 kV、WD: 3 mm、観察モード: STD、検出器: SED
試料: ゼオライト

入射電圧: 0.5 kV、WD: 2 mm、観察モード: BD、検出器: UED
試料: シールテープ

入射電圧: 10 kV、WD: 6 mm、観察モード: LV、検出器: LVBED
試料: 電球導入線
iを用いた観察例
光触媒粒子 二次電子像

JSM-IT800 (i) UED検出器で撮影
試料提供:東京大学特別教授 堂免 一成 様
水の電気分解にかかる量子効率がほぼ1に近い光触媒です。高分解能二次電子像では、立方体の粒子の {100} 面に10 nm以下の 水素生成助触媒粒子が選択的に付着している様子が確認できます。
参考文献
T. Takata et. al., "Photocatalytic water splitting with a quantum efficiency of almost unity," Nature , 581, 411-414, 2020.
半導体デバイス (SRAM)内部 組成像 / 電位コントラスト像 / 凹凸像

観察条件: 入射電圧: 1 kV、WD: 8 mm、観察モード: SIL、検出器: UED・UID・SED 3信号同時取得

観察条件: 入射電圧 5 kV、WD: 4.5 mm、観察モード: LV (50 Pa)、検出器: LVBEDナノサイズの細孔を帯電の影響なく観察できている。
絶縁物無蒸着観察
試料: Al 陽極酸化被膜表面

観察条件: 入射電圧 10 kV、WD: 4.5 mm、観察モード: LV (50 Pa)、検出器: LVBED特殊ホルダーに封入した液体を、窒化ケイ素の観察窓越しに観察したもの。
試料の液体への分散状態などを確認できる。(FlowVIEW社製 In-situホルダーを使用)
液中試料その場観察
試料: 水に分散したCeO2
参考文献
N. Asano et. al., “Direct Observation Techniques Using Scanning Electron Microscope for Hydrothermally Synthesized Nanocrystals and Nanoclusters.” Nanomaterials , 11, 908, 2021.
新しい反射電子検出器
新しい2種類の反射電子検出器 (オプション) であるシンチレーター反射電子検出器 (SBED) は応答性に優れ、また低加速電圧での材料コントラスト像の取得に有利です。多目的反射電子検出器 (VBED) は分割された検出素子形状により、3Dや凹凸など特色ある画像を取得できます。
SBED (シンチレーター反射電子検出器) 画像
検出器にシンチレーターを用いることで、半導体素子よりも検出感度および応答性が向上しました。

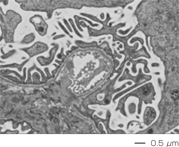
試料: マウス腎臓の超薄切片 (コントラスト反転)
入射電圧: 5.0kV、スキャン速度0.04 μsec/pixel
5,120 × 3,840 画素で取得。

試料: トナー、入射電圧: 1.5kV

試料: 鋼板(転位の観察)、入射電圧: 25kV
VBED (多目的反射電子検出器)画像
5分割の半導体型検出素子により、観察目的に応じて信号を選別することができます。
角度選別

試料: 蛍光体、入射電圧: 3.0kV
三次元再構築

試料: CCD素子のオンチップマイクロレンズ、入射電圧: 7.0kV
4方向から取得した二次元像を用いて三次元像を再構築することができます。
関連リンク
ニュースリリース
ショットキー電界放出形走査電子顕微鏡 JSM-IT800(i)/(is)バージョンの販売開始 -次世代プラットフォームを採用したFE-SEM― (2021/8/31)
電界放出形走査電子顕微鏡 JSM-IT800を販売開始 (2020/5/25)
特殊試料ホルダーのご案内
仕様・オプション
仕様
HLバージョン | isバージョン | iバージョン | SHLsバージョン | SHLバージョン | |
---|---|---|---|---|---|
分解能 | 0.7nm (20kV) | 0.6nm (15kV) | 0.5nm (15kV) | 0.6nm (15kV) | 0.5nm (15kV) |
1.3nm (1kV) | 1.0nm (1kV) | 0.7nm (1kV) | 1.1nm (1kV) | 0.7nm (1kV) | |
0.9nm (500V) | |||||
3.0nm (15kV, 5nA, WD 10mm) | 3.0nm (15kV, 5nA, WD 8mm) | 3.0nm (15kV, 5nA, WD 8mm) | 3.0nm (15kV, 5nA, WD 10mm) | 3.0nm (5kV, 5nA, WD 10mm) | |
倍率 | 写真倍率
×10 ~ 2,000,000 (128 × 96 mm 表示時) 表示倍率 × 27 ~ 5,480,000 (1,280 × 960 画素表示時) |
写真倍率
×25 ~ 2,000,000 (128 × 96 mm 表示時) 表示倍率 × 69 ~ 5,480,000 (1,280 × 960 画素表示時) |
写真倍率
×25 ~ 2,000,000 (128 × 96 mm 表示時) 表示倍率 × 69 ~ 5,480,000 (1,280 × 960 画素表示時) |
写真倍率
×10 ~ 2,000,000 (128 × 96 mm 表示時) 表示倍率 × 27 ~ 5,480,000 (1,280 × 960 画素表示時) |
写真倍率
×10 ~ 2,000,000 (128 × 96 mm 表示時) 表示倍率 × 27 ~ 5,480,000 (1,280 × 960 画素表示時) |
入射電圧 | 0.01 ~ 30 kV | ||||
プローブ電流 | 数 pA ~300 nA (30 kV)
数 pA ~100 nA (5 kV) |
数 pA ~300 nA (30 kV)
数 pA ~100 nA (5 kV) |
数 pA ~500 nA (30 kV)
数 pA ~100 nA (5 kV) |
数 pA ~500 nA (30 kV)
数 pA ~100 nA (5 kV) |
数 pA ~500 nA (30 kV)
数 pA ~100 nA (5 kV) |
標準検出器 | 二次電子検出器 (SED)
上方電子検出器 (UED) |
二次電子検出器 (SED)
上方インレンズ検出器 (UID) |
二次電子検出器 (SED)
上方インレンズ検出器 (UID) 上方電子検出器(UED) |
二次電子検出器 (SED)
上方ハイブリッド検出器 (UHD) |
二次電子検出器 (SED)
上方ハイブリッド検出器 (UHD) |
電子銃 | インレンズショットキーPlus 電界放出電子銃 | ||||
エミッター
保証期間 |
3年 | ||||
開き角最適化
レンズ (ACL) |
組込み | 組込み | 組込み | 組込み | 組込み |
対物レンズ | ハイブリッドレンズ | セミインレンズ | セミインレンズ | スーパーハイブリッド
レンズ |
スーパーハイブリッド
レンズ |
試料ステージ | フルユーセントリックゴニオメーターステージ | フルユーセントリックゴニオメーターステージ | フルユーセントリックゴニオメーターステージ | フルユーセントリックゴニオメーターステージ | フルユーセントリックゴニオメーターステージ |
モーター制御 | 5軸モーター制御 | 5軸モーター制御 | 5軸モーター制御 | 5軸モーター制御 | 5軸モーター制御 |
試料サイズ | 試料ステージType1 (最大径:170 mm 最大高さ:45 mm (WD 5 mm))
ステージ移動範囲 (X:70mm Y:50mm Z:1~41mm 傾斜:-5~70° 回転:360°) 試料ステージType2 (最大径:200 mm 最大高さ:55 mm (WD 5 mm)) ステージ移動範囲 (X:100mm Y:100mm Z:1~50mm 傾斜:-5~70° 回転:360°) ※ 試料ステージType3 (標準最大径:200mm 最大高さ:45 mm (WD 5 mm)) ステージ移動範囲 (X:140mm Y:80mm Z:1~41mm 傾斜:-5~70° 回転:360°) ※
|
||||
低真空モード
(オプション) |
可能 | ||||
分析機能
(オプション) |
EDS
WDS EBSD CL |
EDS
WDS EBSD CL |
EDS
WDS EBSD CL |
EDS
WDS EBSD CL |
EDS
WDS EBSD CL |
主な用途 (例) | 磁性体、広域EBSD | 半導体デバイス解析 | 磁性体、EBSD、生物 (アレイトモグラフィ, CLEM) |
試料交換方式
光学像の取得は両方の交換方式に対応
大型試料の交換に適したドローアウト

・ドローアウト使用時
・最大試料サイズ: 直径170 mm
・真空排気: 3 ~ 5分
・光学像取得サイズ: 120 mm × 120 mm
スピーディーでクリーンな試料の出し入れを可能にする試料交換室

・予備排気室使用時
・最大試料サイズ: 直径 100 mm
・真空排気: 60 秒以内
・光学像取得サイズ: 70 mm × 70 mm
試料や設置環境により真空排気時間及び大気開放時間は変化します。
光学像の利用にはオプションのステージナビゲーションシステム ((SNS) が必要です。)
試料交換室はオプションです。
検出器詳細(ドライSD™検出器仕様)
検出素子面積 | 60 mm2 |
---|---|
エネルギー分解能 | 133 eV 以下 |
検出可能元素 | Be~U |
データ管理機能 / レポート | SMILE VIEW™ Lab |
主要なタイトル
上方電子検出器 (UED) *SHL、SHLs、isのみ
上方二次電子検出器 (USD) *HLのみ
上方電子検出器 (UED) *isのみ
上方電子変換器 (UEC) *isのみ
反射電子検出器 (BED)
シンチレータ反射電子検出器(SBED)
多目的反射電子検出器(VBED) *HL、SHL、SHLsのみ
透過電子検出器(TED)
低真空機能 (低真空反射電子検出器(LVBED)含む)
低真空二次電子検出器 (LVSED)
後方散乱電子回折 (EBSD)
波長分散形X線分析装置 (WDS)
軟X線発光分光器 (SXES) *HL、SHL、SHLsのみ
プローブ電流検出器
試料交換室
ステージナビゲーションシステム
試料室カメラ
操作テーブル
オペレーションパネル
トラックボール
スマイルナビ
モンタージュ
ライブマップ
LIVE-AIフィルター
SMILE VIEW™ Map
カタログダウンロード
アプリケーション
JSM-IT800に関するアプリケーション
イメージング質量分析法と走査電子顕微鏡を用いたポリエチレンテレフタレートフィルムの紫外線照射による劣化解析
走査電子顕微鏡(SEM)でのステレオ(3D)写真の撮影と観察1:ステレオSEM写真の原理
関連製品

IB-10500HMS クロスセクションポリッシャ™ ハイスループットミリングシステム
世界最速クラスのイオンミリングスピードを実現!
断面試料作製装置クロスセクションポリッシャ「IB-19530CP、IB-19520CCP」に新開発イオンソースを採用した「IB-10500HMSハイスループットミリングシステム」を開発しました。
HMS装着により、断面ミリングレート、1.2mm/hを実現しました。(従来比2.4倍)さらに大型回転ホルダの使用で幅20mmの平面ミリングも可能になりました。

IB-19520CCP 冷却クロスセクションポリッシャ™ 断面試料作製装置
加工時に試料を液体窒素冷却する事によりイオンビームによる熱ダメージを軽減させる事が出来ます。
冷却保持時間も長く、液体窒素の消費量を抑えた構造になっています。
液体窒素を入れたまま、短時間で試料の冷却、室温戻し、取り外しが可能です。
大気非曝露環境下で、加工から観察までを行う為の搬送機構が付いています。

IB-19530CP クロスセクションポリッシャ™ 断面試料作製装置
IB-19530CP クロスセクションポリッシャ™は、多様化する市場ニーズに応えるべく、マルチパーパスステージを採用し、各種機能ホルダーを交換することで多機能化を実現しました。
用途に応じた機能ホルダーを選択することにより、断面ミリングだけではなく、平面ミリング、イオンビームスパッタコーティングなどの機能が拡張できます。

Gather-X JEDシリーズ ドライSD™ Windowless EDS
JSM-IT800 / Windowless EDS分析で新たな探求を。
軽元素から重元素までストレスフリーなEDS分析を実現!
カーボンニュートラルが牽引役となり、素材開発はより重要となっています。電池材料で例えるとLiなどの軽元素からNi,Co,Mnなどの遷移金属までの幅広い解析が必要です。
半導体材料や触媒のナノ粒子の解析には特性X線をより効率良く、高感度で分析するニーズが増えています。
新開発のドライSD™ Gather-XはJSM-IT800に搭載可能 (※) なWindowlessタイプのEDSです。Li-K (54 eV) に代表される低エネルギー特性X線を含んだ全エネルギー帯域での高感度X線分析が可能、さらに、JSM-IT800と連動した安全機能とSEM/EDS統合ソフトウェアにより、使う方を選ばない安心・快適な操作性を提供します。
※JSM-IT800<HL>/<SHL/SHLs>に搭載可能