タマムシ内部構造の観察 ~µCT法による特定部位の決定、試料作製、SEM観察~
µCT-AP010
虫の筋肉や内臓を非破壊で確認する手法としてµCT法があります。今回、µCTを用いてタマムシ内部の透過像から密度の高い部位を探し出しました。その部位をクロスセクションポリッシャ™(CP)で断面作製をおこなった後、走査電子顕微鏡(SEM)を用いてCP加工断面の観察を行いました。 µCTのスライス像では不明瞭な構造も直接SEM-EDS測定するとで微細構造と含有元素を詳細にとらえることができました。
①µCTを用いた非破壊解析
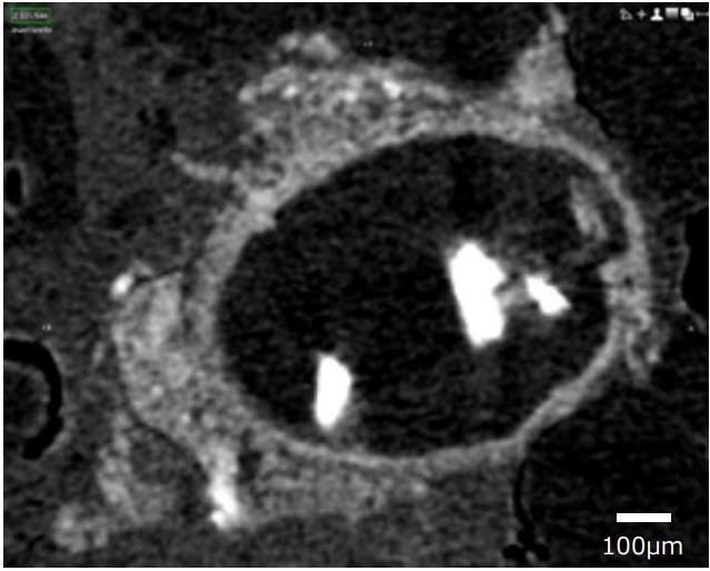
雑木林で捕まえたタマムシをµCTを用いて非破壊解析をおこない内部構造を確認しました。3D画像、スライス像からSEMを観察する特定部位を決定しました。(赤丸)密度が高い箇所が明るいコントラストになります。
図1 タマムシ実物画像
図2 µCT グレースケール3D画像
図3 高密度個所抽出3D画像
図4 µCT XYスライス画像(点線:スライス位置)
表1 µCT測定条件

②樹脂包埋 µCT を用いたCP加工時の突出し量の推定(決定)
非破壊解析後、特定した部位を樹脂包埋し、クロスセクションポリッシャ™(CP)で加工できるサイズに切断し、機械研磨で加工面の平坦化をおこないました。CP加工前に再度µCTを用いて特定部位の位置(距離)を計測することで、CP加工時の遮蔽版の突き出し量を確認することが出来ます。(突き出し量は約120µmでした。)

図5 樹脂包埋試料光学顕微鏡像

図6 µCT 3D画像
③CP加工前のµCTスライス像とCP加工断面のSEM像
CPを用いて断面作製をおこないました。その断面のSEM像は、CP加工前に撮影したµCT スライス像とほぼ一致しました。狙っていた加工位置を加工出来ていることを確認することが出来ました。コントラストが明るい箇所が原子番号が高い部位となります。

図7 µCT スライス画像(CP加工前)

図8 SEM像(CP加工後)
④加工断面のEDSマップ
SEM像(COMPO)
元素マップの結果を周期表に合わせてプロットしました。昆虫は植物を餌としていることからNa、Mg、P、S、K、Caなどが体内に取り込まれています。
CaとMgは同族ありながら存在する部位が異なるという興味深い結果が得られました。
反射電子像の明るい輝度の領域では、酸素(O)、リン(P)、カルシウム(Ca)が共存しており、リン酸マグネシウム、リン酸カルシウムの存在が示唆されます。

図9 EDSカラーマッピング
